September 2018 / Fujian Medical University Union Hospital, etc. / Integrative Cancer Therapies
Text/ Wu Tingyao

Does eating Ganoderma lucidum help to relieve symptoms of brain tumor patients? This is probably the first report in an international journal to explore the effects of Ganoderma lucidum in inhibiting brain tumors in vivo through animal experiments – it can bring us some thoughts.
Glioma is a common type of brain tumor. It is caused by abnormal proliferation of glial cells that wrap around nerve cells. It may be a slow-growing benign tumor (whether it will cause headaches and other uncomfortable symptoms depends on the location and size of the tumor), or it may be a fast-growing malignant tumor.
Malignant glioma has lost the function of nourishing, supporting and protecting nerve cells. Not only does it grow fast, but it may also spread in a short time. This type of malignant glioma, which grows and spreads quickly, is also called glioblastoma. It is one of the most common and deadly brain tumors in humans. Even if patients receive aggressive treatment immediately after diagnosis, their average remaining life span is only 14 months. Only 5% of patients survive for more than five years.
Therefore, how to effectively strengthen the anti-cancer ability of the patient’s own immune system has become the main field of exploration in the treatment of glioblastoma in the medical field in recent years. It is an accepted fact that Ganoderma lucidum polysaccharides (GL-PS) can regulate immunity, but because the blood-brain barrier between the brain and blood vessels can selectively prevent certain substances in the blood from entering the brain cells, whether Ganoderma lucidum polysaccharides can inhibit glioblastoma in the brain needs to be further confirmed.
A report jointly published by Fujian Medical University Union Hospital, Fujian Institute of Neurosurgery, Fujian Agriculture and Forestry University in September 2018 in “Integrative Cancer Therapies” confirmed that the polysaccharides isolated from the fruiting body of Ganoderma lucidum (GL-PS) can inhibit the growth of glioblastoma and prolong the survival period of tumor-bearing rats. Its mechanism of action is closely related to the improvement of immunity.
Experimental result 1: the tumor is relatively small
The GL-PS used in the experiment is a macromolecular polysaccharide with a molecular weight of nearly 585,000 and a protein content of 6.49%. The researchers first inoculated glioma cells into the rat brain, and then administered the GL-PS to the rat by intraperitoneal injection at a daily dose of 50, 100 or 200 mg/kg).
After two weeks of treatment, the brain tumor size of the experimental rats was examined by MRI (Figure 1A). The results showed that compared with the control group rats that were inoculated with cancer cells but not given GL-PS, the tumor size of rats that were given 50 and 100 mg/kg GL-PS was reduced by about one-third on average (Figure 1B).

Figure 1 The inhibitory effect of GL-PS on brain tumors (gliomas)
Experimental result 2: prolonging survival
After the MRI was done, all experimental rats continued to be fed until they died. The results found that the longest alive were the rats given 100 mg/kg GL-PS. The average survival time was 32 days, which was one-third longer than the 24 days of the control group. One of the rats was even alive for 45 days. As for the other two groups of GL-PS rats, the average survival time is about 27 days, which is not much different from that of the control group.

Figure 2 The effect of GL-PS on the life span of rats with brain tumors (gliomas)
Experimental result 3: Improving the anti-tumor ability of the immune system
The researchers further explored the effects of Ganoderma lucidum polysaccharides on the immune function of rats with brain tumors and found that the cytotoxic T cells (Figure 3) in the brain tumors and lymphocytes (including T Cells and B cells) in the spleen of the rats injected with Ganoderma lucidum polysaccharides were significantly increased in the blood. The concentration of anti-tumor cytokines, such as IL-2 (interleukin-2), TNF-α (tumour necrosis factor α) and INF-γ (interferon gamma), secreted by immune cells was also higher than that of the control group.
In addition, the researchers have also confirmed through in vitro experiments that Ganoderma lucidum polysaccharides can not only enhance the lethality of natural killer cells against glioma cells but also promote dendritic cells (the cells responsible for identifying foreign enemies and initiating the immune response in the immune system) to speed up the activation of the immune system to combat cancer cells, and also contribute to the generation of cytotoxic T cells (which can kill cancer cells one-to-one).

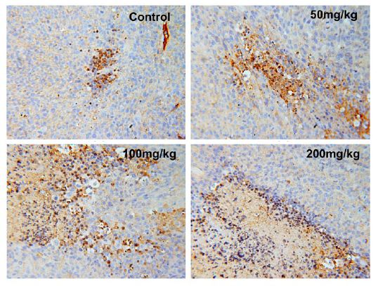
Figure 3 The effect of GL-PS on the number of cytotoxic T-cells in brain tumors (gliomas)
[Description] This is a tissue section of a rat brain tumor, in which the brown part is cytotoxic T-cells. Control refers to the control group, and the other three groups are GL-PS groups. The indicated data is the dose of Ganoderma lucidum polysaccharides injected into the intraperitoneal cavity of tumor-bearing rats.
Seeing the opportunity of Ganoderma lucidum polysaccharides to fight brain tumors
The above research results indicate that the appropriate amount of Ganoderma lucidum polysaccharides can help fight brain tumors. Because the polysaccharides injected into the abdominal cavity are absorbed through the portal vein of the liver and metabolized by the liver and then enter the blood circulation for interaction with the immune cells in the blood. Therefore, the reason why the growth of rat brain tumors can be controlled and even the survival period can be prolonged should be related to the stimulation of immune response and the improvement of immune function by Ganoderma lucidum polysaccharides.
Obviously, the blood-brain barrier in the physiological structure will not shield the inhibitory effect of Ganoderma lucidum polysaccharides on brain tumors. The experimental results also tell us that the dosage of Ganoderma lucidum polysaccharides is not the more the better, but too little seems to have little effect. How much is the “appropriate amount”. It is possible that different Ganoderma lucidum polysaccharides have their own definitions, and whether the effect of oral administration can be equivalent to that of intraperitoneal injection requires to be confirmed by further research.
However, these results have at least revealed the possibility of polysaccharides from Ganoderma lucidum inhibiting brain tumor growth and prolonging survival, which may be worth a try in the current situation of limited treatment.
[Source] Wang C, et al. Antitumor and Immunomodulatory Activities of Ganoderma lucidum Polysaccharides in Glioma-Bearing Rats. Integr Cancer Ther. 2018 Sep;17(3):674-683.
[References] Tony D’Ambrosio. Glioma vs. Glioblastoma: Understanding Treatment Differences. Neurosurgeons of New Jersey. 2017 Aug 4.
END
About the author/ Ms. Wu Tingyao
Wu Tingyao has been reporting on first-hand Ganoderma information since 1999. She is the author of Healing with Ganoderma (published in The People’s Medical Publishing House in April 2017).
★ This article is published under the exclusive authorization of the author.
★ The above works cannot be reproduced, excerpted or used in other ways without the authorization of the author.
★ For violations of the above statement, the author will pursue relevant legal responsibilities.
★ The original text of this article was written in Chinese by Wu Tingyao and translated into English by Alfred Liu. If there is any discrepancy between the translation (English) and the original (Chinese), the original Chinese shall prevail. If readers have any questions, please contact the original author, Ms. Wu Tingyao.